Fifth Avenue Smile BBB Business Review Accessible Version
fifthavenuesmile
3 Generations of Cosmetic Dentistry

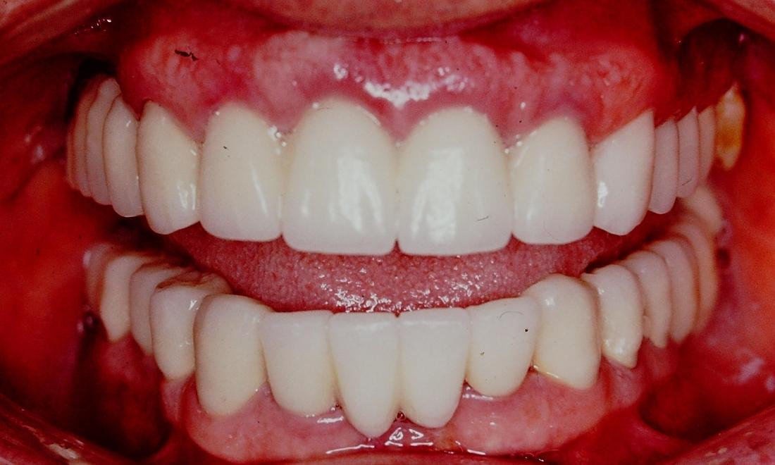
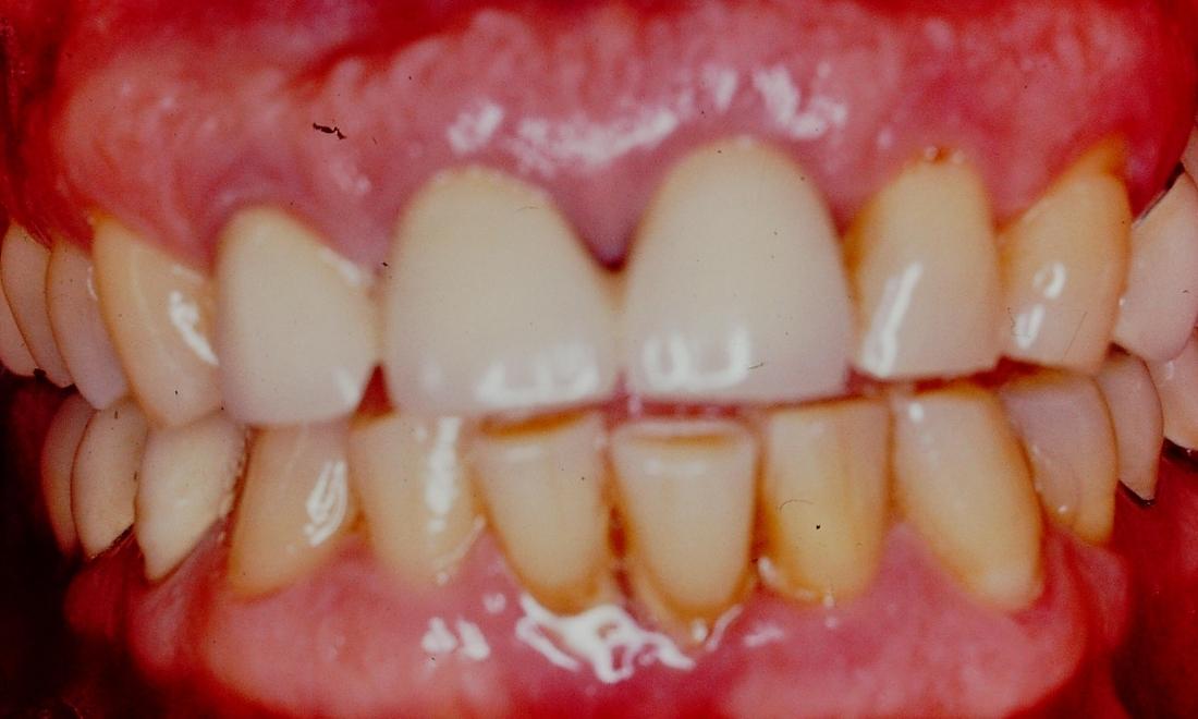
Porcelain Veneers and Smile Makeover

Patient presented with cosmetic concerns due to the color, shape and severe wear of teeth. Ten upper laminates and eight lower laminates were done to restore this smile.

Fifth Avenue Smile - Patient Testimonial
Ready to book an appointment?
If you have difficulty using our website, please email us or call us at (720) 513-7615
View the ADA Accessibility Statement