Smile Gallery
Transforming a patient's smile can increase their whole quality of life. We take that responsibility seriously here at Fifth Avenue Smile!
If you've been considering making changes to your smile or you'd like to see the difference that high-quality dentistry can make, take a look through our Smile Gallery. Imagine the possibilities for your own smile!
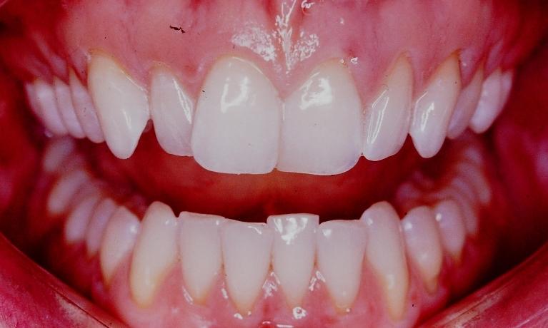
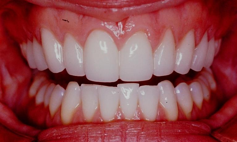
Cosmetic concerns due to shape and color of her teeth. Eight upper porcelain laminate veneers and eight lower porcelain veneers were able to restore her smile.
Patient presented with cosmetic concerns due to the color, shape and severe wear of teeth. Ten upper laminates and eight lower laminates were done to restore this smile.
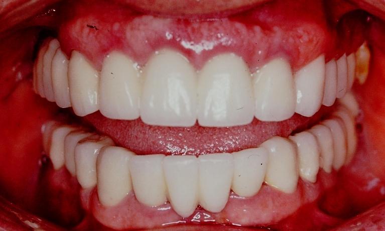
Patient presented with cosmetic concerns after receiving periodontal surgery (dark spaces are visible) as well as open contacts. We were able to restore her smile using porcelain crowns.
Patient presented with chipped and worn down lower anterior incisors. Four porcelain veneers were done to correct the shape, color and occlusion.
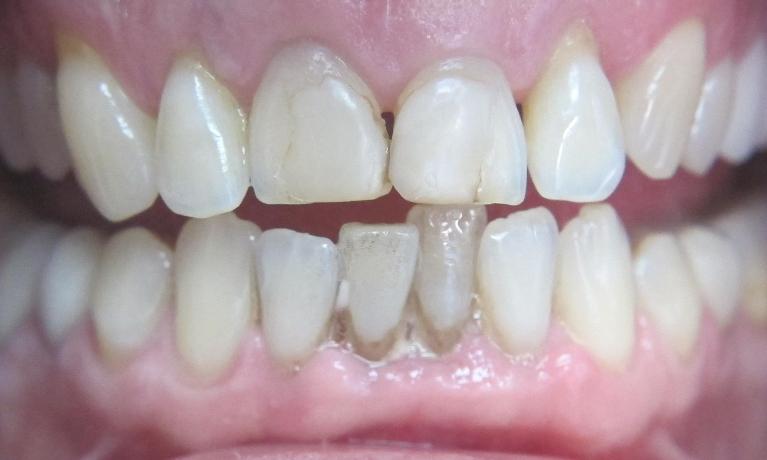
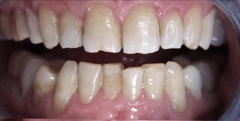
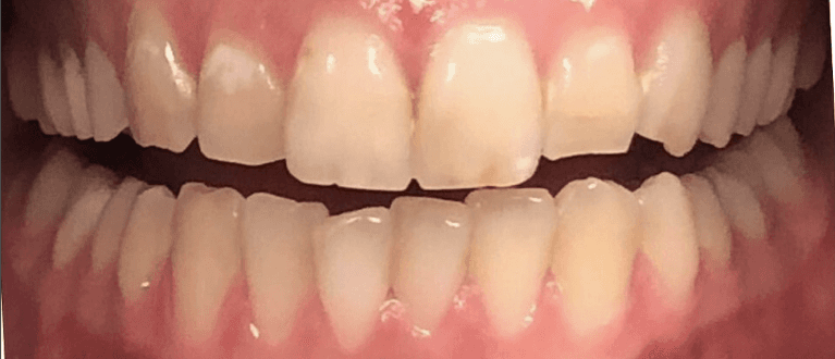
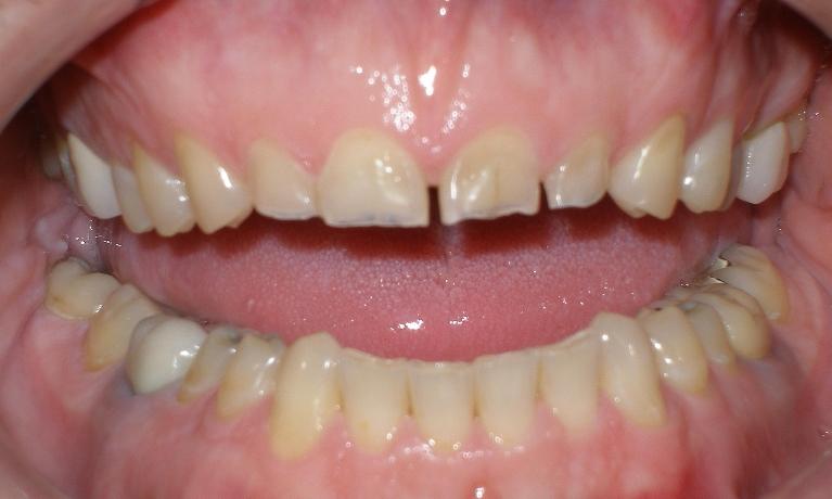
Patient presented with cosmetic concerns regarding her chipped upper central incisors. Two porcelain veneers were done to restore her smile.
Patient presented with cosmetic concerns regarding peg lateral incisors on upper arch as well as large spaces between her upper teeth. The patient also presented with missing lower anterior teeth. We were able to restore the upper arch with zirconia crowns and the lower arch with a 4-unit zirconia bridge.
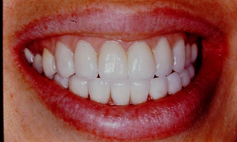
This patient was not happy with tooth discoloration and front upper teeth they felt were "too wide." Upper and lower porcelain veneers were used here to correct the smile,, color and size of teeth.
This 43 year old female was unhappy with her front teeth so we suggested a combination of upper and lower porcelain veneers and crowns to give her more confidence.
Patient presented with cosmetic concerns due to small size of her existing natural teeth, misalignment, shape and color. We were able to restore her esthetic appearance with ten porcelain laminate veneers
Patient presented with congenitally missing upper lateral incisors. As a result, the upper canines migrated and were occupying the space which presented cosmetic concerns and whenever she smiled. Six porcelain veneers were inserted. Re-contouring the upper canine and first premolar was important to normalize the esthetic appearance.
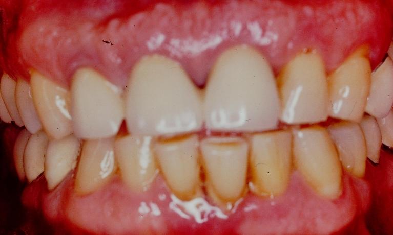
Patient presented with cosmetic concerns due to severe grinding, clenching tooth wear and dark coloration. The upper arch was rebuilt first using porcelain crowns and the anterior porcelain laminate veneers. Pt subsequently restored their lower teeth as well (to be pictured).
Patient presented with periodontal disease and bone loss. Most of anterior teeth were mobile and needed to be connected for functional and esthetic reasons. Using a combination of periodontal splinting and full mouth cosmetic reconstruction using metal free zirconia crowns, we were able to save his teeth and restore the esthetic appearance of his smile.
Patient presented with cosmetic concerns regarding the discoloration and misalignment of her upper maxillary teeth. Four upper porcelain laminate veneers is all that was needed to restore this beautiful smile.
Patient presented with cosmetic concerns regarding the shape and alignment of his anterior teeth. Anterior porcelain laminate veneers were inserted and to correct the shape and alignment of the anterior teeth.
Patient presented with discoloration, severe recession and misalignment of the upper anterior teeth. Six anterior veneers were inserted to correct the functionality and esthetic appearance of the anterior teeth.
Skip to main content