
Smile Makeover
Smile Makeover in New York, NY
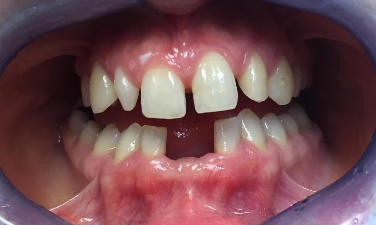
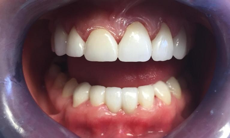
A Beautiful Smile Starts Here
Dr. Dragos was born into a family of dentistry and has a lifetime of experience in cosmetic dentistry. He has taken on hundreds of complex full mouth reconstructive cases with amazing, long lasting results!
Located in the heart of New York City, Dr. Dragos Sandulescu has been practicing at his Fifth Avenue location since 1985. Dr. Dragos was also a professor of Prosthodontics at the Farleigh Dickinson University School of Dentistry. He has been honored with numerous national and international awards, accolades, and recommendations over his career.
After your comprehensive examination using our low-emission digital x-rays, Dr. Dragos will present a treatment plan custom-tailored to your individual needs. However, a strong foundation of healthy teeth is important before any cosmetic work is done.
“I am passionate about dentistry and I am passionate about helping others. The opportunity to be part of the transformation in restoring someone’s smile is absolutely one of the most rewarding parts of dentistry.” ~Dr. Dragos Sandulescu
Initial Consultation
At your first visit, Dr. Dragos will conduct a full examination using our state-of-the-art equipment and low-emission digital x-rays. At our dental practice, we strive to provide our patients with every possible option available, which is why Dr. Dragos will explain the pros and cons of each procedure so you can both agree on the best solution for your new smile.
Pre-Cosmetic Restoration
Maintaining a strong foundation of healthy teeth and gums is essential in order to keep your smile shining. For this reason, Dr. Dragos may recommend certain restorative treatments to correct any pre-existing issues before any major cosmetic work is planned.
Smile Makeover
After all restorative work is finished, Dr. Dragos will explain his cosmetic recommendations and discuss any questions you may have.
Over his many years as a leading cosmetic dentist in New York, Dr. Dragos has transformed hundreds of smiles using a variety of cosmetic techniques, including dental implants, tooth bonding, porcelain crowns, porcelain bridges, and porcelain veneers.
Rest assured that you will have an amazing outcome.
Dr. Dragos uses the highest-quality material, state-of-the-art equipment, and over 25 years of expertise to guarantee you are in the best hands possible.
Frequently Asked Questions
Yes. We offer the convenience of both in-office and at-home bleach whitening systems.
Our Zoom in-office teeth whitening system will have your teeth shining in one lunch break. We recommend refraining from smoking tobacco and/or drinking any materials that may stain your teeth for 48 hours, including coffee, wine, chocolate, red meat, and so forth.
We also offer at-home bleaching trays that are custom-fit to your individual teeth. At your convenience, simply apply the bleaching gel to your customized trays and watch your smile whiten over the next few days!
Chips are a common problem. They can change the shape of your teeth and collect stains, making your teeth look “spotty” or otherwise irregular. Fortunately, several solutions are available. One of the fastest, most affordable, and most conservative options is dental bonding. This procedure can often be completed in a single appointment at our Long Island or Fifth Avenue dental office.
Bonding is the process of using the same tooth-colored composite resin that we use to fill cavities to fill in chips or conceal other flaws. Once the bonding is completed and polished, it will blend in with your enamel so well that most people will never be able to tell that you’ve had dental work done.
Another popular solution for chips and other damage is porcelain veneers. These thin, tooth-shaped shells are bonded to the fronts of your teeth and can correct an incredible array of flaws. In fact, porcelain veneers are often the secret behind the stunning smiles of your favorite celebrities! Veneers do take longer than bonding because they are crafted in a dental lab, but you will still have a new smile in just a few short weeks. We are happy to discuss your options with you and help you determine which solution will best address your concerns and fit into your lifestyle. Please give us a call to schedule your consultation.
Absolutely not! At Fifth Avenue Smile, we believe you are able to have a healthy, beautiful smile at any age, and we would be happy to meet with you and help you determine the most appropriate solutions for your concerns.
Teeth have a tendency to pick up stains over time, so as we get older, our teeth start to look dull and discolored. Professional teeth whitening can roll back the clock and help reveal the smile you had when you were younger.
If your teeth have sustained damage over the years, we have several options to help improve both their appearance and their functionality. Cosmetic bonding using tooth-colored composite resin, porcelain veneers, and porcelain crowns can all help conceal a variety of common flaws so that your teeth can look their best.
If you are struggling with teeth that aren’t properly aligned, we are happy to discuss orthodontic treatment with Invisalign at our Long Island or Manhattan dental office. Invisalign can correct crowding, wide gaps and spaces, and twisted or overlapping teeth to give you an even, attractive smile that is much easier to take care of. Orthodontics definitely aren’t just for teenagers anymore, and the virtually invisible aligners of Invisalign mean that your treatment can fit easily into your professional and mature lifestyle.
Please give us a call to schedule a consultation so that we can discuss your options and recommend solutions that are right for you.
It depends, but usually not. When we are designing and fitting veneers, we typically remove a small layer of your enamel. This allows the veneers to fit to your teeth correctly and avoids a “bulky” or otherwise unnatural appearance. Certain types of veneers can be placed directly over the top of your enamel, and we will discuss your options with you and determine whether this type of veneer is appropriate for your needs.
Once enamel is removed, it is necessary to keep your teeth protected with veneers. Without the protection provided by the veneers, your teeth will be sensitive and at a greater risk for decay. Your veneers will be designed to last for many years. Good home care habits and regular check-ups at our Fifth Avenue dental office in Manhattan or our dental office in Long Island will help lengthen the life of your veneers. We’ll keep a close eye on the condition of your veneers so we can begin planning for replacements ahead oft time so you are well-prepared.
Veneers are durable and stain-resistant, but like natural teeth, they can break if exposed to unusual forces. Refrain from habits like biting your nails or chewing on ice. If you clench or grind your teeth under stress, we can discuss solutions to help protect your investment. If your veneers become damaged or detach, please contact our office so we can determine whether the veneer can be saved or we will need to craft a new veneer.
OUR TEAM

Dr. Dragos Sandulescu, DDS
Dr. Dragos developed a true love and passion for the field of dentistry very early on, while working in his family-owned dental laboratory in New York City. He continued to ...